
Keresztharapás
Esztétikailag zavar a felső fogaid torlódása? Éjszaka nyitott szájjal alszol és reggel fáradtan, nyúzottan ébredsz annak ellenére, hogy akár 8 órát “alvással” töltöttél?
A keresztharapásról általánosságban
Az oldalsó keresztharapás egyre gyakrabban jelentkezik úgy a gyermek-, mint a felnőtt pácienseim körében. A mélyharapás után ez a leggyakrabban megjelenő fogazati rendellenesség. Általában nagyfokú fogtorlódás megjelenésével társul és gyakran jár krónikus szájlégzéssel is.
A keresztharapás megoldása kifejezetten korai kezelést igényel, mivel fiatalkorban könnyebben alakítható az arc csontjainak növekedése. Nem érdemes halogatni a kezelést, mivel felnőttkorban akár sebészi beavatkozást is igényelhet a keresztharapás megoldása.
Amennyiben érdekelnek a szájpadtágítás lehetőségei olvass tovább az oldalon.

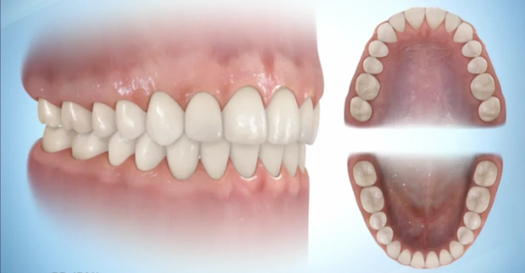
Mi az a keresztharapás?
Ideális harapási viszonyok mellett az alsó fogív fogait körülírják a felső fogív fogai. Összezárt fogsorok esetén mindig a felső fogaknak kell kívül lenniük és a széles felső fogív “alá” illeszkedik az alsó.

Minden olyan esetet amikor ez a viszony megváltozik: vagyis az alsó fogív fogai kerülnek a felső fogakon “kívülre” keresztharapásnak vagy keresztérintkezésnek nevezzük attól függően, hogy fogcsoportot vagy csak egy-két fogat érint a jelenség.
A keresztharapás formái és kialakulásának okai
A keresztharapásnak két jellegzetes megjelenési formája van.
1.
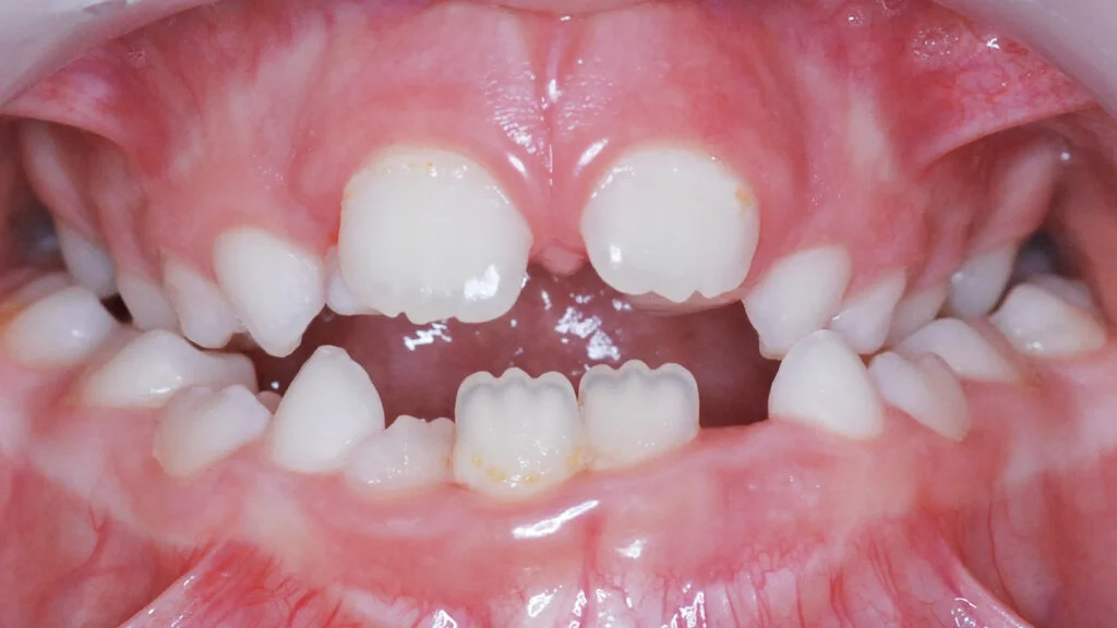
Az oldalsó keresztharapás a leggyakoribb probléma. Ebben az esetben a felső fogív szűk és keskeny az alsó fogívhez képest. A fogak nem férnek el szabályosan szép sorban. Megjelenik a torlódás és az oldalsó részeken azt látjuk, hogy az alsó fogak a felső fogakon kívül harapnak. Ez a jelenség megjelenhet egyik- vagy mindkét oldalon a felső fogívszűkület mértékétől függően.
2.
Az elülső keresztharapás, más néven bulldogharapás. Ritkábban megjelenő forma. Eben az esetben a frontfogak érintettek, az alsó frontfogak a felsők elé harapnak.

Az oldalsó keresztharapás kialakulásának hátterében a nem megfelelő nyelv funkció áll az arc növekedése során illetve ide tartozik mindenféle gyermekkori rossz szokás: elhúzódó cumizás, ujjszopás, ajakszívás stb.
Harmonikus arc fejlődés során a szilárd táplálékok fogyasztásával egyidőben a csecsemőkori nyelési reflex átalakul a felnőttkori nyelési reflexé (amikor a nyelési ciklus során a nyelv hegye a fogak mögötti szájpadlási részre támaszkodik).
Ezzel egyidőben a nyelv nyugalmi helyzete is megváltozik és a szájfenékről felemelkedik a szájpadlásra. Ez az aktív belső izomerő fogja biztosítani a középarc és a felső fogív megfelelő fejlődését. Azt szoktam mondani, hogy ideális esetben a felső fogív gyakorlatilag a nyelv köré kelle hogy nőjön. Ezáltal nyeri el a felső fogív szép széles parabola alakját, így férnek el szép sorban a fogak egymás mellett.
Amennyiben ez a természetes folyamat nem zajlik le és a nyelv a szájfenéken marad a maxilla és a felső fogív széltébeni növekedése lelassul, ráadásul a külső mimikai izmok működése ellen is áll a fogív fejlődésének.

Amennyiben a rendellenesség csak a fogak helyzetéből adódik a kezelés egyszerű fogszabályozást igényel.
A bulldogharapás genetikailag meghatározott formája esetén viszont az állcsontok méretbeli és helyzeti rendellenessége áll fenn. Ez az arcnövekedési minta generációról generációra öröklődik, a történelemből ismert és híres család a Habszburg dinasztia tagjainál is ezt az arcberendezést figyelhetjük meg.
Tünetei és következményei
Mosolyesztétikai következmények
Az oldalsó keresztharapás első tünetei között a fogak torlódását és a fogív alakjának megváltozását említhetjük.


Azonban gyakran megfigyelhető az alsó dentális középvonal eltolódása is, ami legtöbb esetben kényszer harapási formát jelez.
Ilyenkor az alsó fogív nem tud középre záródni, emiatt az egész mandibula elcsúszik oldalirányba az állcsúccsal együtt. Amennyiben ezt fiatal gyermekkorban nem korrigáljuk a “félreharapás” stabilizálódik, ezáltal a csont és fogív is deformálódik.
Ilyen esetekben megfigyelhető az állcsúcs és az arc aszimmetriája.


Az elülső keresztharapás – vagyis a bulldogharapás esetében is nagy százalékában megfigyelhető a fogív torlódás, és a frontfogak fordított érintkezése. Ilyenkor az alsó frontfogak a felsők elé harapnak.


Az arcesztétikát tekintve jól fejlett állkapocs, előreugró állcsúcs figyelhető meg.


Egészségügyi következmények
- Szájüregi vonatkozást tekintve a torlódott fogakat nehezebb tisztán tartani. Emiatt megtapad a lepedék, könnyebben alakul ki a fogkő ami később komolyabb ínygyulladás kialakulásához vezet.
- A tisztíthatatlan fogfelszíneken megtapadnak a fogszuvasodást okozó baktériumok is, így a fogszuvasodás esélye megnő.
- Általános egészséget tekintve pedig elsőként a szájlégzést kell említenem az összes további következményével együtt.
- A szánkon keresztül történő lélegzés egyik hosszú távú hatása a koponya, az arc csontozatának rendellenes fejlődése, ami egész életünkre hatással van.
- Idővel a kezeletlen szájlégzéssel élőknek súlyosabb problémákkal kell szembenézniük, olyanokkal, mint az abnormális arcizom és fognövekedés, megnyúlt száj, fogínygyulladás és fogszuvasodás.
- A szájlégzés gyakori velejárója a felszínes alvás is, ami ronthatja a napközbeni teljesítményt, és gyermekkorban a szervezet növekedési folyamatait is károsíthatja.
- A szájlégzéssel élő gyermekek általában nem alszanak túl jól, ez pedig ronthatja a koncentrációképességet és viselkedési problémák kialakulásához, akár ADHD kialakulásához vezethet.
- A szájlégzés továbbá csökkenti a vér oxigéntartalmát is, ezáltal pedig magas vérnyomást, szívproblémákat, alvási apnoét és más egészségügyi problémákat okozhat.

A keresztharapás kezelése
Ma már szinte minden eltérés kezelhető felnőtt korban is, ezért azt szoktam mondani, hogy a fogszabályozó kezelés nem egy SOS beavatkozás.
Ezalól egy eltérés kivétel. Ez nem más mint a keresztharapás megoldása ún. ASAP feladat. Minél korábban ismerjük fel annál egyszerűbb a megoldás.
Az oldalsó keresztharapást a felső fogív tágításával kezeljük. A felső fogív szűkületének mértékétől függően választunk készüléket.
Amennyiben 4 mm vagy ennél kisebb mértékű fogív tágításra van szükség elegendő maga a fogszabályozó készülék akár rögzített- vagy a láthatatlan Invisalign.
Abban az esetben, amikor 4 mm-t meghaladó fogívtágításra van szükség, a szájpadtágítás módszereit választjuk. Különböző kialakítású készülékek léteznek, gyűjtő nevük a Hyrax szájpadtágítók. A hyrax készülék, magyarul szájpadlás tágító, ahogyan az a nevében is benne van a szájpad tágítására alkalmas készülék.
Az elülső keresztharapás kezelése
Elülső keresztharapás, más néven a bulldogharapás kezelése a fogakat érintő eltérés esetén, lehetséges úgy rögzített- mint Invisalign készülékkel.


Kiegészítő gumihúzást alkalmazunk a legtöbb esetben.
Amikor a bulldogharapás oka a genetikailag meghatározott alsó állcsont “túlnövekedése” szóba jönnek az állcsontortopédiai műtétek.
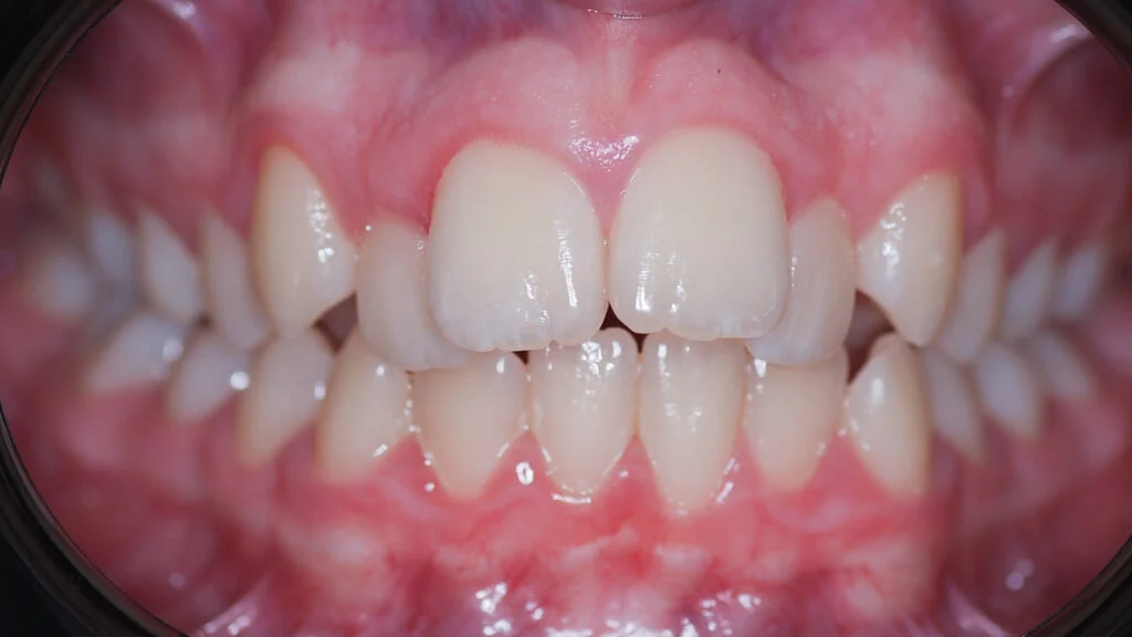
A keresztharapás kezelésével a következő eredményeket érhetjük el
- Beállítjuk a mosolyesztétikát, a frontfogakat ideális pozícióba állítjuk.
- Rendeződik a fogívek viszonya.
- Szép, harmonikus mosolyt alakítunk ki.
- Megszüntetjük a rágófogak túlterhelését.
- Beállítjuk a harapást, ezáltal kényelmesebb és hatékonyabb lesz a rágás.
- Javítjuk a felső ajak megtámasztását, így az teltebb exponáltabb lehet.
- Javítjuk az arc megjelenését a mimikai izmok működésének harmonizálása által.
- A nyelv funkciók rendezésével javul a légzés és az alvás minősége is.
A harapási eltérések kezelésével nem csak egy szép mosolyt alakítunk ki! Kezeléseink során minden esetben egy teljes életminőség javulás-elérése a cél.

Invisalign kezelés lépésről lépésre
A sikeres és leggyorsabb fogszabályzó kezelések kulcsa az alapos diagnózis és részletes
kezelési terv. A legmodernebb eszközökkel és technológiákkal dolgozunk, így a fogszabályozás nálunk tényleg csak minimális kellemetlenséggel jár. Mind a kezelési, mind a fogorvosi székben töltött idő olyan rövid, amilyen csak lehet.
Az életreszóló befektetés
A mosolyod az egyik első fizikai jellemző, amelyet mások látnak. Egy gyönyörű mosoly azt üzeni a külvilágnak, hogy igényesen törődsz magaddal.
Milyen volt az együtt töltött idő?
Pácienseink visszajelzései:
Dr. Kovács Sarolta fogszabályozó szakorvos
Az orvos és a beteg közti bizalmi kapcsolat az
igazi titkos összetevője egy akár 1-1,5 évig is
tartó, sikeres kezelésnek. Gondos tervezéssel
mindent megteszünk azért, hogy a lehető
legrövidebb idő alatt a legeredményesebb
változást érjük el.
Kezelésről-kezelésre haladva egyre szépül majd a mosolyod, így alig várod majd a következő
alkalmat, hogy újra ellátogass hozzánk!

Tájékozódj tovább legfrissebb blogcikkeinkből


Már 7 évesen érdemes elkezdeni a fogszabályozást
Mikortól ajánlott? Már 7 évesen érdemes elkezdeni a fogszabályozást, amit a legújabb technológiák fájdalommentessé tesznek, a köztudatban ugyanakkor számos káros

Láthatatlan fogszabályozás – Kényelmes a viselete?
Kényelmes viselet az Invisalign® láthatatlan fogszabályozó készülék? Az Invisalign® láthatatlan fogszabályozók általában kényelmesnek számítanak, különösen a hagyományos fogszabályozókhoz képest. Némi kellemetlenség,

Láthatatlan fogszabályozás – keresztharapás kisokos 3. rész
Hogyan lehet kezelni a keresztharapást? A legtöbb harapási eltérés felnőttkorban is jól kezelhető – de van egy kivétel: a
Kérj időpontot személyes konzultációra
Csak egy üzenet vagy telefonhívás, és mindent megbeszélünk.
Töltsd ki az alábbi űrlapot az adataiddal
Add meg a nevedet és a telefonszámodat, hogy felhívhassunk
Jelöld meg, hogy mikor hívhatunk
Válaszd ki a napot és az időpontot, amikor nyugodtan beszélhetünk
Készen is vagy, várd a hívásunkat
Hamarosan megkapsz minden segítséget, hogy önfeledten mosolyogj
Bejelentkezés
1.
Elsőként arra kérünk, add meg a személyes adataidat. Olyan telefonszámot írj be, melyen el tudunk érni a kért időpontban.
2.
Gondold át, hogy mikor lenne neked a legalkalmasabb, hogy felhívjunk és megbeszéljük a továbbiakat.
3.
Ne maradj le híreinkről: kérd INGYENES leveleinket a fogszabályozással, szájhigiéniával kapcsolatos akciókkal, tippekkel!
4.
Segíts nekünk azzal, hogy pár mondatban leírod a mosolyoddal, fogaiddal kapcsolatos gondjaidat, amire megoldást szeretnél. Így mi is felkészültebbek leszünk, amikor felhívunk.
5.
A „VISSZAHÍVÁST KÉREK” gombra kattintással elfogadod az ÁSZF-ünket és tudomásul veszed az Adatvédelmi tájékoztatónkat.