
Portfólió/ Lilla
Lilla
Cél:
Tökéletes mosoly kialakítása, harapás beállítása
Kezelés:
Felnőtt külső fogszabályozás
Időintervallum:
19 hónap
Alkalmazott technológia:
Alsó-felső fogíven In-Ovation® C kerámia brackettek
Az átalakulásról
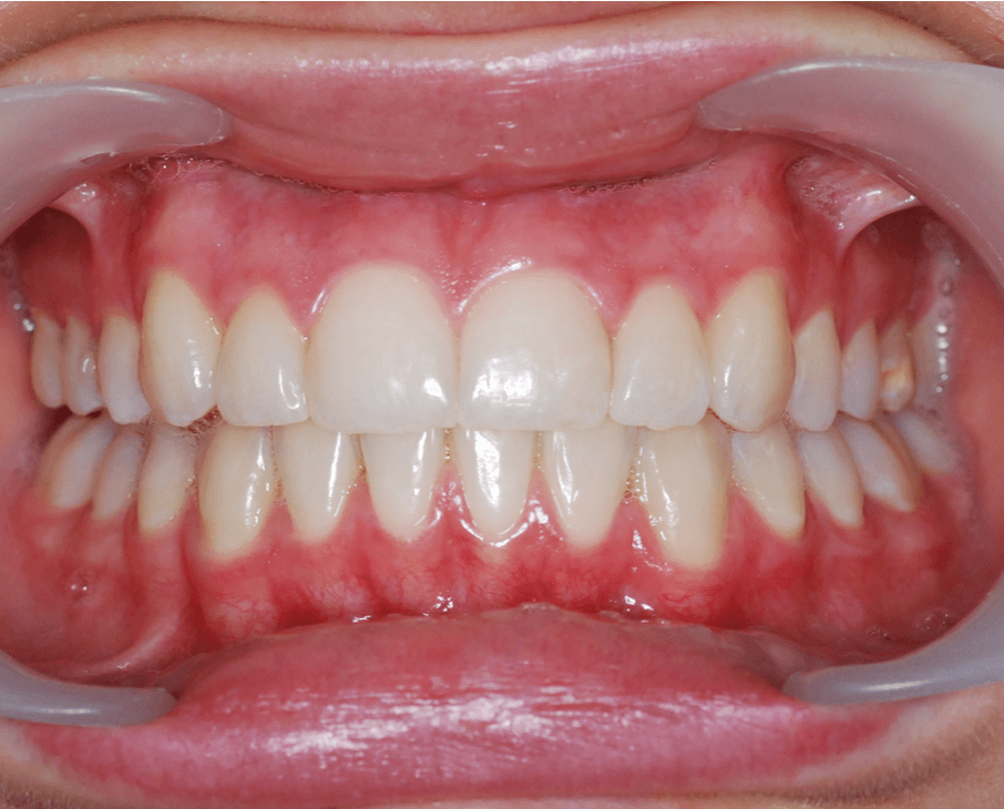
Lillát egy gyönyörű lányként ismertük meg, aki a kilógó szemfogai miatt nem mert mosolyogni. Foghúzás nélkül, rögzített fogszabályozóval értük el a képen látható eredményt. Nézzétek meg honnan indultunk.

Lilla mosolya a kezelés előtt

Lilla mosolya a kezelés után

Előtte

Utána

Előtte

Utána

Előtte
